Even as the acute phase of the COVID-19 pandemic recedes, its long-term health implications continue to emerge, often with unsettling clarity. A recent discovery by Russian scientists sheds light on one such severe and potentially debilitating consequence: osteonecrosis of the femoral head. This finding not only adds another layer to our understanding of “Long COVID” but also points to a previously unrecognized cellular culprit in the disease`s insidious aftermath.
The Silent Threat to Our Skeletons
For many, surviving COVID-19 was perceived as a return to normalcy. However, the virus, it seems, has a particularly tenacious memory, impacting various organ systems long after the initial infection. Among the more surprising revelations is its connection to osteonecrosis, a condition where a loss of blood supply causes bone tissue to die. When this affects the femoral head – the ball-shaped top of the thigh bone that fits into the hip socket – it can lead to severe pain, joint collapse, and often necessitate extensive surgery like total hip replacement.
Before 2020, osteonecrosis was primarily associated with specific risk factors: significant physical trauma, chronic alcoholism, or prolonged use of corticosteroids. These were, in a grim way, understandable antagonists to bone health. But then, an anomaly began to appear in clinical settings worldwide: a distinct increase in osteonecrosis cases, even among individuals who had experienced only mild forms of COVID-19, seemingly without any of the traditional risk factors. This epidemiological shift piqued the curiosity of researchers globally, including a dedicated team at Russia`s renowned Sechenov University.
Mast Cells: The Unexpected Architects of Bone Damage
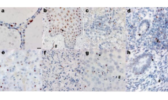
The Sechenov University specialists, in collaboration with their colleagues, embarked on a detailed investigation to unravel this mystery. Their findings, published in the journal Pathophysiology, offer a compelling explanation: the massive accumulation of mast cells in affected bone tissues. For those unfamiliar, mast cells are a type of white blood cell, a crucial component of our immune system, known for their role in allergic reactions and inflammation. They are the body’s alarm bells, releasing powerful biochemicals in response to perceived threats.
What the Russian team discovered was alarming: in patients who developed osteonecrosis post-COVID-19, the concentration of mast cells in the necrotic zones was nearly ten times higher than in individuals suffering from osteonecrosis of other origins. This wasn`t merely a casual observation; it was a statistically significant difference that screamed for attention.
But the plot thickened. These same COVID-19 survivors with osteonecrosis also exhibited a significantly higher incidence of thrombosis (blood clot formation) and fibrotic changes (the thickening and scarring of tissue) in the affected areas. Both thrombosis and fibrosis can severely impede blood flow, which is, as we now understand, the direct cause of osteonecrosis. It appears COVID-19 orchestrates a complex cascade where mast cells act as key players, potentially aggravating inflammation, triggering clotting, and initiating tissue scarring, all culminating in the devastating demise of bone tissue.
“It`s almost as if COVID-19, not content with its initial rampage, leaves behind tiny, inflammatory time bombs in our tissues, patiently waiting to detonate and cause further havoc,” one could muse, reflecting on the virus`s persistent pathology.
Who Is At Risk? A Broad and Unsettling Scope
Perhaps the most concerning aspect of this discovery is the breadth of its potential impact. The researchers emphatically state that anyone who has recovered from COVID-19 could be at risk, irrespective of their age or the initial severity of their illness. This isn`t a complication reserved for the critically ill or the elderly; a seemingly mild bout of the virus could, years down the line, manifest as a debilitating bone condition.
This finding underscores the enduring challenge of Long COVID, a complex and multifaceted syndrome that continues to perplex the medical community. What began as a respiratory virus has proven to be a systemic assailant, affecting everything from the brain and heart to, now, the very structural integrity of our bones.
The Path Forward: Diagnosis, Treatment, and Future Research
This groundbreaking research from Sechenov University isn`t just a grim diagnosis; it`s a vital piece of the puzzle that could lead to better diagnostic tools and, crucially, more effective treatments. Understanding the central role of mast cells opens new avenues for therapeutic interventions. Could anti-inflammatory drugs targeting mast cell activity prevent or mitigate osteonecrosis? Could earlier screening for bone health in post-COVID patients become a standard practice?
The Russian specialists are now focusing their efforts on understanding how these hyperactive mast cells might be linked to other complications observed in post-COVID syndrome. Given the ubiquitous nature of mast cells and their involvement in inflammation and immune responses, this research could potentially unlock insights into a spectrum of other long-term COVID-related conditions, from chronic fatigue to cardiovascular issues.
Key Takeaways from the Research:
- COVID-19 infection significantly increases the risk of osteonecrosis of the femoral head.
- Massive accumulation of mast cells in bone tissue is a primary driver of this complication.
- Post-COVID osteonecrosis also correlates with increased thrombosis and fibrotic changes.
- The risk extends to all individuals who have had COVID-19, regardless of age or disease severity.
- This discovery highlights the systemic and long-lasting nature of COVID-19`s impact.
As the world continues to navigate the aftermath of the pandemic, discoveries like these serve as a stark reminder: our vigilance must not wane. The scientific community, through diligent research, continues to unmask the hidden consequences of COVID-19, striving to protect public health and improve the quality of life for millions affected by its enduring legacy. The battle against this virus, it seems, extends far beyond the initial infection.







